Découvrir la chimie Médiathèque
Contrôles qualité

La chimie analytique contribue largement au travail de contrôle, de surveillance et d’évaluation sanitaire. La qualité étant définie un ensemble de propriétés, la démarche qualité consiste à mettre en place une suite d’étapes, qui permettront de garantir toutes les caractéristiques d’un processus ou d’un procédé donné. La démarche qualité se compose ainsi de trois domaines distincts : la définition des standards, la transparence des transformations du début à la fin du processus, et enfin, la traçabilité des objets et des processus ayant permis de réaliser ces transformations.

Ressources

23:03
molécules d’origine anthropique, échantillonnage intégratif, analyses moléculaires non ciblées, chromatographie, spectrométrie de masse
traitement eau, eau potable, filtration, ozonation, filtration sur charbon actif, chloration, eau de mer, désalinisation, distillation, osmose inverse. Eaux usées, traitement biologique aérobie, ultrafiltration, boues, anaérobie, programme Jourdain, interdépendance eau énergie
traitement de l’eau, eaux usées, eau potable, assainissement, charbon actif, ozonation, dessalement, filtration, décarbonation, micropolluants, méthanisation, biogaz
fermentation alcoolique, anaérobie, levures, vin, Pasteur
extraction, substances odorantes, arômes, parfums, notes olfactives, réglementation
informations numériques, pollutions urbaines, pollution sonore
atmosphère, microclimat, qualité de l’air, végétation, ville
ville, eau, changement climatique, économie circulaire
air intérieur, COV, diagnostic, traitement, formaldéhydes
qualité de l’air, pollution atmosphérique, information environnementale
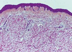
Image au microscope d’une coupe de peau.
42:09
pénétration transcutanée, actif cosmétique, pharmacologie cutanée, vectorisation
Deux types de mélanine : l’eumélanine (à gauche en marron) photoprotectrice et la phéomélanine (à droite en jaune-orange) phototoxique.
38:18
pigmentation constitutive, sensibilité aux ultraviolets, mélanines, peaux reconstruites pigmentées, Individual Typology Angle (ITA)
réglementation chimique, industrie chimique, industrie pharmaceutique, HSE, compétitivité
28:28
prévention des risques, modélisation, modèles de sécurité, cycle de vie des solutions techniques, paradoxe et tolérance aux risques
15:00
olfaction, odeur, application industrielle, analyse chimique, spectrométrie de masse, parfum, arôme, chromatographie en phase gazeuse
8:00
datation sans prélèvement, fraude, accélérateur de particules hautes énergies, RX, analyse du verre, silice fondant, potassium, sodium, manganèse, chrome, vin